タツキ歯科クリニック&エターナル

症例紹介

CASE STUDY

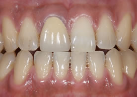
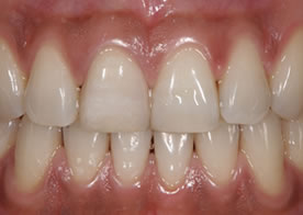
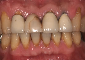
オールセラミッククラウン

BEFORE
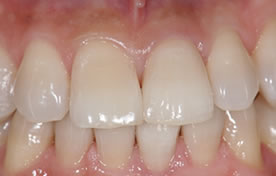
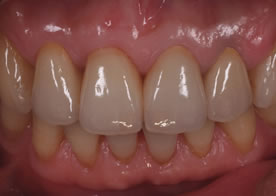
オールセラミッククラウン
AFTER
オールセラミッククラウン

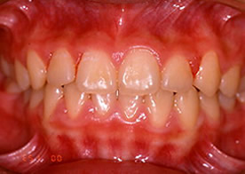
オールセラミッククラウン

BEFORE
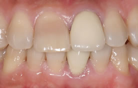
オールセラミッククラウン
AFTER
オールセラミッククラウン

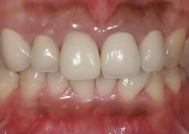
オールセラミッククラウン

BEFORE
オールセラミッククラウン
AFTER
オールセラミッククラウン

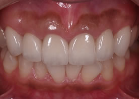
ポーセレンラミネートべニア

BEFORE
ポーセレンラミネートべニア
AFTER
ポーセレンラミネートべニア

オールセラミックブリッジ

BEFORE
オールセラミックブリッジ
AFTER
オールセラミックブリッジ

ホワイトニング

BEFORE
ホワイトニング
AFTER
ホワイトニング

矯正治療

BEFORE
矯正治療
AFTER
矯正治療

インプラント治療

BEFORE
インプラント治療
AFTER
インプラント治療

義歯治療

義歯治療
義歯治療
Detail
PICKUPSITE
ホワイトニング専門サイト
インプラント
Copyright © 金山(名古屋)の歯医者|タツキ歯科クリニック&エターナル All Rights Reserved.